Sashimi là món ăn truyền thống thường hiện diện trong thực đơn tại các nhà hàng Nhật Bản. Nguyên liệu chính của món ăn là hải sản tươi sống được cắt lát và bày trí bắt mắt trên đĩa.
Nhưng tình yêu của một người đàn ông Trung Quốc dành cho món sashimi gần như đã giết chết anh ta sau khi cơ thể anh bị sán dây từ món ăn này xâm nhập.
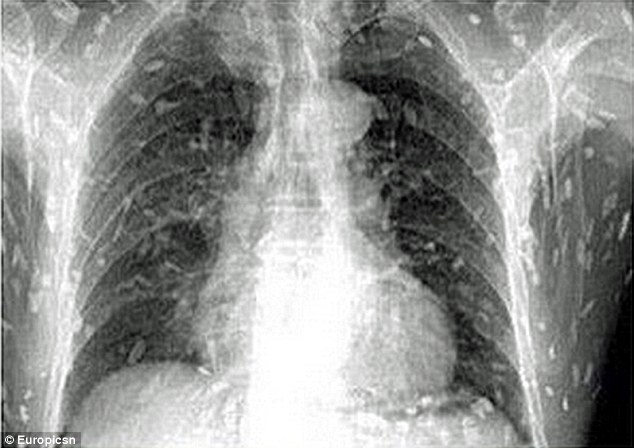
Hình ảnh cho thấy cơ thể của người đàn ông ghiền sashimi đã nhiễm sán dây
Sau những cơn đau dạ dày và ngứa da, anh đã đến bác sĩ để khám. Thật kinh hoàng khi hình ảnh chụp được cho thấy, toàn bộ cơ thể của anh đã bị nhiễm sán dây sau khi ăn quá nhiều sashimi.
Các bác sĩ tin rằng một số món ăn Nhật chưa nấu chín với nguyên liệu từ thịt sống hoặc cá đã bị nhiễm bẩn là nguyên nhân gây bệnh.
Bệnh nhân đang được điều trị tại Bệnh viện nhân dân Quảng Châu số 8 ở tỉnh Quảng Đông, miền đông Trung Quốc.
Trước đây, các nghiên cứu chỉ ra rằng ăn cá sống hoặc nấu chưa chín có thể dẫn đến khả năng nhiễm một loạt các ký sinh trùng.
Nhiễm sán dây xảy ra sau khi ăn phải ấu trùng diphyllobothrium, được tìm thấy trong các loại cá nước ngọt như cá hồi, ngay cả khi đã trải qua quá trình ướp và hun khói.
Một nghiên cứu trên tạp chí Bác sĩ Gia đình Canada cho biết: Trong khi các trường hợp nhiễm bệnh giảm đi ở các khu vực nghèo do điều kiện vệ sinh được cải thiện, nó đã tăng lên ở các nước phát triển hơn; điều này rất có thể do sự phổ biến ngày càng tăng của các món ăn có nguy cơ.
Tác giả nghiên cứu, Nancy Craig viết: "Sự phổ biến rộng rãi của món sushi và sashimi (với nguyên liệu chính là hải sản sống) là một trong những nguyên nhân gây bệnh giun sán. Bên cạnh đó, những món ăn phổ biến khác cũng có thể là nguồn lây bệnh, chẳng hạn món cá muối thô hoặc philê cá tẩm gia vị - có nguồn gốc từ vùng Baltic và các nước Bắc Âu, hay món Carpaccio của Ý làm từ thịt bò hay cá hồi ướp dầu, chanh và để lạnh”.
Tiến sĩ Yin, Bệnh viện nhân dân Quảng Châu số 8, nói với trang web that'smags.com rằng việc ăn thực phẩm chưa nấu chín có nhiều nguy cơ nhiễm trứng sán dây, gây ra bệnh giun sán. Khi giun trưởng thành và đi vào dòng máu sẽ đe dọa tính mạng của bệnh nhân vì chúng có thể di chuyển đến não hoặc làm tắc mạch máu.
Hình ảnh chụp cơ thể của người đàn ông Trung Quốc bị nhiễm sắn dây
.jpg)
.jpg)
.jpg)
Nguồn PNO

Câu lạc bộ thơ tỉnh Bình Phước phấn đấu có 5 tác phẩm phổ nhạc
Chủ tịch nước Lương Cường: Với bộ máy hành chính mới, Hà Nội cần tiên phong đổi mới tư duy quản lý
Toàn văn phát biểu của Tổng Bí thư Tô Lâm với nhân dân TPHCM và thông điệp gửi nhân dân cả nước
Lãnh đạo Đảng, Nhà nước dự Lễ công bố các nghị quyết, quyết định sáp nhập đơn vị hành chính
Sổ bảo hiểm xã hội điện tử được cấp chậm nhất là ngày 1-1-2026